- Es una de las principales causas de atención en los servicios de urgencias.
El Instituto Mexicano del Seguro Social (IMSS) Veracruz Sur hace un llamado a los padres de familia, para extremar precauciones y evitar que los niños especialmente menores de cinco años, manipulen todo tipo de pila y sea llevada a la boca, lo que podría causar severos daños en el esófago, incluso la muerte.
El director del Hospital General de Zona (HGZ) No. 36, doctor Omar Antonio García López explicó que la atención en urgencias a niños que mordieron o se tragaron una pila, es una de las principales causas de atención.

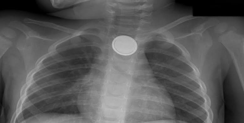
El esófago es el órgano más afectado por estos accidentes, cuando la pila permanece por mucho tiempo dentro se abre y puede liberar material tóxico que quema la mucosa, o bien liberar corriente eléctrica perforando la pared esofágica.
Las pilas de botón que se utilizan en relojes, lámparas, controles remotos, entre otros, son pequeñas y pueden ser ingeridas por los niños por curiosidad; en el caso de las pilas más grandes como la triple A y doble A, pueden ser mordidas, el líquido entra al interior en contacto con el infante, causando reacciones como vómito.
Si el adulto responsable se da cuenta o sospecha que el niño se tragó o mordió una pila, deberá llevarlo de manera urgente a los servicios de urgencias del IMSS, para iniciar con la atención.
Cuando los adultos no se dan cuenta de que el niño se pasó una batería, los síntomas de sospecha para tomar en cuenta son: tos, vómito, dificultad para comer, dolor en el pecho, salivación, babeo y fiebre, estas reacciones son ocasionadas por la liberación del material corrosivo tras estar en el esófago por varios minutos.
El también urgenciólogo del IMSS, explicó que bajo ninguna circunstancia debe darse medicamentos, alimentos o algún remedio casero, pues lejos de ayudar empeoraría el cuadro o bien liberar el calor de la pila y causar más daño.
Finalmente, exhortó a los adultos a evitar o alejar de los niños todo tipo de batería, así como evitar regalar juguetes que requieran pilas, especialmente cuando son para niños en edad preescolar.
—oo0oo—